歯の表面はエナメル質という「半透明色」の硬い組織で覆われています。
エナメル質の中には黄褐色の「象牙質」という組織があり、さらにその中には「歯髄」があります。歯の色は、エナメル質と象牙質の色で決定されます。
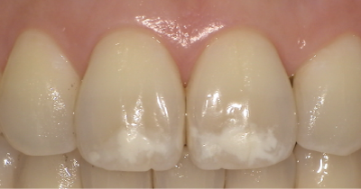
黄褐色の象牙質は加齢と共に厚みが増し、逆にエナメル質はどんどん薄くなっていくため、年をとるとともに歯は黄ばんで見えるようになってしまうのです。
いくら歯の表面の汚れを落としても自分の歯は黄色いという方は、遺伝か年齢の黄ばみだと考えてよいでしょう。
ホワイトニングの長所は薬剤で色を変化させる為、歯を削らないということです。









